سالم و تمیز نگه داشتن دندان ها امری دشوار است که به راحتی امکان پذیر نمی باشد. اگر علاقه دارید لبخند دندان نمای شما، همیشه زیبا و دلفریب باشد، رسیدگی به دندان ها و داشتن دندان های تمیز و سفید، تنها راه چاره شما است. البته پیاده سازی چنین هدفی، به این راحتی ها نیست.
علاوه بر داشتن مسواک استاندارد، استفاده از نخ دندان و رعایت رژیم غذایی، نیاز به تکنولوژی های پیشرفته تری مثل سفید کننده دندان، واتر جت دندان و جرم گیر دندان خواهید داشت.

راهنمای خرید دستگاه جرم گیر خانگی دندان
گاهی اوقات افراد مسواک زدن را فراموش می کنند یا به طور مرتب از آن استفاده نمی کنند، این کار باعث جرم گرفتن دندان ها و به خطر افتادن سلامت آن ها می شود. به جز ظاهر زشتی که جرم ها ایجاد می کنند، باعث ایجاد بوی نامطبوع در دهان نیز می شوند.
پس بهداشت دندان ها اهمیت بسیاری دارد. افرادی که کمتر از دو بار در روز از مسواک استفاده می کنند، پس از مدتی ناگزیر به استفاده از دستگاه جرمگیر خانگی یا دندانپزشکی خواهند بود.
در این مقاله از طوطی کالا میخواهیم شما را با دستگاه جرم گیر خانگی، انواع آن و نحوه کارکرد آن آشنا کنیم و در انتها به معرفی بهترین مدلهای دستگاه جرم گیر خانگی آشنا کنیم، پس با ما تا انتها همراه باشید.
جرم های دندانی چیست و چگونه ایجاد می شود؟
زمانی که اقدام به آشامیدن و خوردن یک خوراکی می کنید سطوح بسیار کوچک و مولکولی آن به دندان می چسبند. در ابتدا برای پاکسازی این اجرام باید از مسواک های مناسب و استاندارد استفاده کنید.

از بین بردن جرم توسط جرم گیر دندان خانگی
مسواک ها قادراند تا اجرامی که به تازگی بر روی دندان شما قرار گرفته اند را به راحتی از بین ببرند. اما استفاده از مسواک های بی کیفیت، درست مسواک نزدن و فراموش کردن این نوبت های مسواکی موجب می شود تا قسمت هایی از دندان شما کاملا تمیز نگردد که این مورد معمولا در فضاهای بین دندانی رخ می دهد.
عدم پاکسازی این اجرام با گذر زمان موجب سفت شدن و چسبیدن آن به دندان ها می گردد. زمانی که این اجرام به دندان می چسبند دیگر مسواک و شوینده ها قادر به جدا سازی آن نخواهند بود.
وجود این اجرام نه تنها زیبایی دندان و چهره شما را می گیرد بلکه آسیب های بسیاری را به سلامت دندان وارد می نماید. زمانی که همچین مشکلاتی رخ می دهند معمولا بهترین راه برای خلاصی از این اجرام استفاده از جرم گیرها برای جرم گیری دندان (Teeth Scaling) می باشد.
علل و عوامل دیگر ایجاد جرم دندان
زرد شدن دندانها علل زیادی دارد بعضی از خوارکی ها و رعایت نکردن بعضی نکات از عوامل ایجاد جرم می باشد. البته بعضی از افراد مادرزادی رنگ دندانهایشان کمی زرد رنگ است؛ که نمی توان آن را جرم دندان نامید. برخی از عوامل ایجاد جرم دندان عبارتند از :

عکس دستگاه جرم گیر دندان خانگی
-
کوتاهی در زدن مسواک و نخ دندان : روش مسواک زدن و نوع مسواک و خمیردندان شما عوامل بسیار مهمی در تمیز شدن دندانهای شماست. ممکن است شما مسواک بزنید، اما به دلیل روش نامناسب یا مسواک غیراستاندارد نتوانید به خوبی دندانها را پاک کنید.
-
باکتری ها : بسیاری از باکتری ها در دهان زندگی می کنند و هنگامی که مواد غذایی در دهان باقی مانده، برای باکتری ها غذایی فراهم می شود. باکتری ها سپس بر روی سطح دندان ها رشد می کنند و باعث ایجاد جرم روی دندان ها می شوند.
-
سیگار، قلیان و مواد مخدر : این مواد باعث خشکی دهان و ایجاد جرم بیشتری روی دندانها می شوند. علاوه بر این دخانیات به طور مستقیم باعث بیماری لثه و تحلیل استخوان می شوند.
-
مصرف دارو : مصرف بعضی داروهای خاص مثل داروهای کاهش دهنده فشار خون، داروهای آرام بخش و اعصاب و ... که باعث کاهش بزاق دهان فرد می شوند. در این شرایط جرم بیشتری روی دندان می نشیند.
-
غذاهای شیرین و نوشابه های گازدار : مصرف غذاهای شیرین و نوشابه های گازدار می تواند باعث ایجاد جرم روی دندان شود. قند و اسیدهای موجود در این غذاها و نوشیدنی ها، برای باکتری ها غذایی فراهم می کند و باعث افزایش تولید اسیدهای گرفته شده از باکتری ها می شود که می تواند باعث آسیب به مینای دندان شود.
-
بزاق دهان : شاید برایتان جالب باشد که بدانید بزاق دهان نیز یکی از عوامل به وجود آمدن جرم روی دندان ها می باشد. حتی اگر در طول روز غذا نخوردید، مسواک را نباید حذف کنید. چون بعضی افراد دارای بزاق جرم ساز هستند، در این افراد حتی با وجود بهداشت دهانی خوب، جرم به صورت مکرر روی دندانها ایجاد می شود.

نحوه استفاده از دستگاه جرم گیر دندان خانگی
انواع جرم گیر دندان
معمولا جرم گیرها به دو محدوده الکتریکی و غیرالکتریکی تقسیم می شوند.
-
جرم گیرهای غیرالکتریکی را معمولا مواد شیمیایی یا روش های سنتی تشکیل می دهند. موادی که معمولا در بین عموم استفاده می گردد نه تنها جرم گیری انجام نمی دهد بلکه به سلامت دندان شما آسیب وارد می کند.
-
در جرم گیرهای برقی این اعمال با نوسانات و ارتعاش های موتور الکتریکی انجام می دهد. به بیانی ساده تر با لرزش های دستگاه و برخورد سری های جرم گیر به دندان اجرام کنده می شوند.
سایر انواع جرم گیر و کارکرد آن
جرم گیرها به غیر از موارد ذکر شده انواع دیگری داشته و تنها به حرکات ارتعاشی سری ختم نمی گردد. از سایر جرم گیرهای پر استفاده و پر کاربرد که از روش های دیگر جهت جرم زدایی استفاده می نمایند می توان به واترجت ها اشاره نمود.
واترجت ها نسبت به جرم گیرهای ذکر شده در بالا دارای قدرت کمتری بوده و معمولا برای اجرام ضعیف تا متوسط استفاده می شود. کارکرد این دستگاه با آب بوده که می تواند با خارج کردن آب با فشار بسیار بالا اجرام را از دندان جدا نماید.
در صورتی که میخواهید اطلاعات بیشتری درباره واترجت ها بدانید، می توانید مقاله مرتبت یعنی (راهنمای خرید واتر جت) را مشاهده فرمائید.

عکس دستگاه جرم گیر دندان خانگی دوربین دار
دستگاه جرم گیر دندان برقی چیست؟
یک دستگاه دندانپزشکی به نام کویترون یا اولتراسونیک است که یک سر فلزی به آن متصل شده است و با لرزش های بسیار ریز ولی به تعداد بالا باعث کندن جرم از سطح دندان می شود.
این فرآیند هیچ آسیبی به نسج دندان نمی رساند. همزمان با حرکت دستگاه، آب اسپری می شود که هم باعث شستن جرم های کنده شده و هم جلوگیری از انتقال حرارت دستگاه به دندان و لثه ها می شود.
نحوه کار دستگاه جرم گیر دندان برقی
دستگاه های اولتراسونیک رایج ترین دستگاه های جرم گیری دندان ها هستند. اولتراسونیک از انواع ابزارهای فراصوتی در دنیای پزشکی است که با ارتعاشات آن، می توان کارهای متفاوتی را انجام داد. ارتعاشات قلم اولتراسونیک باعث کنده شدن بخش های سخت شده پلاک های دندانی می شود و به سادگی جرم گیری انجام می شود.
برای جرم گیری با دستگاه اولتراسونیک باید سر دستگاه سرد نگه داشته شود و آب روی دندان ها برای شستن پلاک ها، اسپری شود.
روش دیگر جرم گیری دندان ها، استفاده از ابزارهای دستی جرم گیری است. این روش برای افرادی که جرم های سطحی روی دندان هایشان دارند، مناسب است. در این روش جرمگیری دندان، دندانپزشک به صورت دستی، پلاک های موجود روی دندان ها را می تراشد.

پاک کردن جرم و باقیمانده غذای لای دندان ها توسط جرم گیر دندان
فواید جرم گیری دندان
برخی از تأثیرات جرم گیری دندان عبارت اند از:
1 - از پوسیدگی و کرم خوردگی دندان جلوگیری می کند.
پوسیدگی و کرم خوردگی دندان، نقطه آغاز مشکلات اساسی دندان هستند. جرم گیری دندان به جلوگیری از بروز این اتفاق و ممانعت از ایجاد حفره در دندان کمک می کند. این حفره ها میزبان پلاک می شوند و به مینای دندان که سخت ترین قسمت دندان است آسیب می زنند.
2 - از بیماری پریودنتال جلوگیری می کند.
پلاک دلیل بروز بسیاری از مشکلات است و اگر در زیر خط لثه تشکیل شده باشد، به لثه ها نیز آسیب می زند. این آسیب می تواند تا جایی پیشرفت کند که منجر به ازدست دادن دندان شود. جرم گیری دندان ها، از خط لثه محافظت می کند. خط لثه نقش مهمی در ثابت نگه داشتن دندان ها و حفظ سلامت کلی دهان ایفا می کند.
3 - لکه ها را از بین می برد.
مصرف چای، قهوه، مایعات رنگی، یا تنباکو باعث شکل گیری لکه روی سطح دندان ها می شود. جرم گیری به پاک کردن این لکه ها، داشتن لبخندی زیبا و تا حدودی سفیدکردن دندان ها کمک می کند.

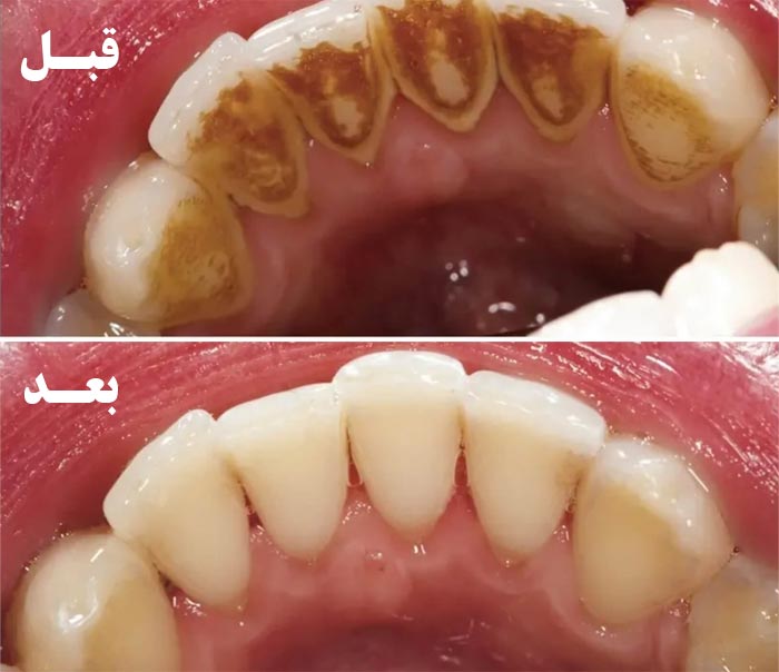
قبل و بعد استفاده از دستگاه جرم گیر دندان خانگی
4 - از بوی بددهان جلوگیری می کند.
همان طور که گفته شد پلاک، باکتری ها را به دام می اندازد و تبدیل به تارتار می کند که این امر منجر به بوی بددهان می شود. در این شرایط با مسواک زدن و نخ دندان کشیدن نتایج جزئی ای را مشاهده خواهید کرد، بنابراین برای رهایی کامل از بوی بددهان جرم گیری ضروری است.
علاوه بر این، جرم گیری عفونت را درمان می کند و روند بهبود را تسریع می بخشد. همچنین از ریشه دندان ها محافظت می کند.
آیا جرم گیری مینای دندان را از بین می برد؟
متأسفانه باور غلطی در بین عموم مردم جا افتاده است که جرمگیری دندان موجب از بین رفتن و نازک شدن مینای دندان می شود. این در حالی است که دستگاه های جرم گیری تنها توان برداشتن جرم های دندانی را دارند و به هیچ عنوان آسیبی به مینای دندان وارد نمی کنند.
این افراد اگر از معایب جرم روی دندان آگاهی داشته باشند، به هیچ عنوان جرم گیری دندان را مضر تلقی نمی کنند. جرم های دندانی نه تنها باعث پوسیدگی دندان ها می شوند، بلکه لثه و بافت های لثه را تخریب می کنند و باعث ایجاد تحلیل لثه و در نهایت، لق شدن دندان ها می شوند.